Hincar el diente

Cuando las arañas tejen juntas pueden atar a un león

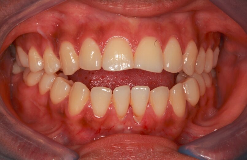
La mordida abierta es una maloclusión muy común en la que los dientes superiores e inferiores no llegan a  contactar, dejando un espacio e imposibilitándonos algo tan sencillo como cortar un trozo de alimento. 
Odontología - jcomp
photo_camera Odontología - jcomp

Normalmente los pacientes que acuden a consulta, comentan que tienen un espacio y que se les ve la lengua, y no es así, aquí voy a desvelaros algo que cada día veo en consulta, no es que tengamos un espacio  y  “se mete” la lengua, es que la lengua se está posicionando mal y hace ese espacio entre los dientes, lo que conlleva una malaoclusión. Es tan sencillo como el ejemplo de un río y una montaña, con el tiempo un río puede labrar su camino a través de la montaña, pues nuestra lengua es el río, y nuestros dientes son la majestuosa montaña.

Odontología
Mordida frontal 

¿Por qué se “escapa” la lengua? Hay muchos hábitos infantiles que se prolongan en el tiempo, como chuparse el dedo, el uso excesivo del chupete. Sin embargo, hay un factor clave que a menudo pasa desapercibido y es la respiración oral. Si respiramos por la boca, nuestra lengua está más descendida, a veces puede ser debido a un frenillo lingual corto, que actúa de ancla e impide que la lengua descanse en el paladar, su correcto lugar.

Hay  veces que la mordida abierta hace que el paciente no pueda pronunciar bien los fonemas, apareciendo ceceos, incluso escupir al hablar, algo muy incómodo para el paciente, desgaste dental porque solo se contacta con unos determinados dientes que sufren más la carga de la masticación y pueden producirse fracturas dentales. No nos olvidemos de los problemas digestivos, el bolo no se tritura bien y da dolor o digestiones pesadas. También aparece dolor por la fuerza constante de la lengua produciendo tensión en los músculos faciales y cervicales.

El binomio perfecto es la combinación de logopeda y ortodoncista, aquí es donde reside la importancia de “tejer juntos”. Si corregimos nuestros dientes, pero no reeducamos nuestra lengua, el resultado no será estable en el tiempo. En el momento que retiremos la ortodoncia, “el río” volverá a golpear a la montaña y los dientes se moverán de nuevo.

La logopedia nos ayuda a entrenar los músculos de nuestra cara y boca, mejora la respiración, masticación, deglución y el habla.

“Cuando las arañas tejen juntas, pueden atar a un león”, en ortodoncia esta máxima es una realidad absoluta. Trabajar en equipo mediante pequeñas acciones colaborativas y la cooperación pueden vencer una fuerza superior y hacer que nuestro tratamiento de ortodoncia sea un éxito.

Artículo en colaboración con la Logopeda Rebeca Moya Vila